Appelez-nous : 450-218-9004
At Bella Dentaire, we offer veneer treatments tailored to each patient. Our approach focuses on precision, aesthetics, and providing care that reflects your individual needs.
Prefer a virtual consultation?
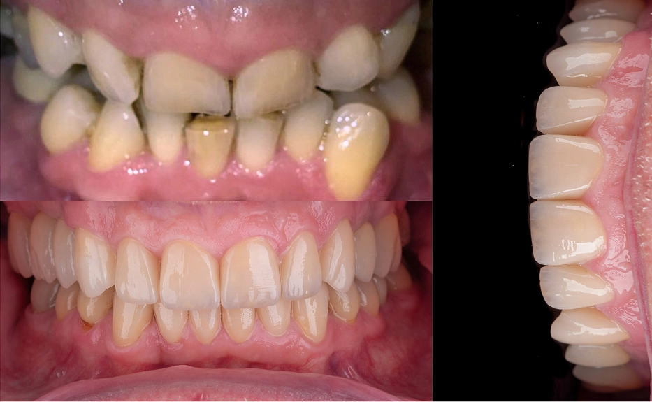
Our patients have improved their smiles and gained more confidence with dental veneers. Below are examples of how veneers have helped them achieve a more aesthetic and natural-looking smile.
Floriane
Rebecca
Gurpiar
Anonymous
Katia
Victoria
Irene
Mireille
Julie
*The before and after images above are provided for reference purposes only. They are not intended to represent any guaranteed results or work.
Veneers cover small spaces, creating the visual effect of a smoother and more continuous smile line.
They can be crafted to refine irregular shapes, giving teeth a more harmonious and balanced appearance.
Veneers mask imperfections caused by surface wear or staining, restoring a brighter, polished look.
They help create the appearance of a straighter, more uniform smile when teeth are mildly out of position.
Learn if veneers clear aligners are right for you. Schedule your complimentary consultation today!
Dr. Nilesh Amin B.Sc. DDS, owner of Bella Dentaire, brings over 25 years of experience to each patient. His approach is rooted in empathy and continuous learning, ensuring that every treatment is guided by both advanced dental technologies and a deep commitment to patient care.
Patients can rely on Dr. Amin for attentive, functional cosmetic dentistry, where comfort, care, and expert guidance are at the forefront of every smile transformation.
Lunch – Vendredi: 8:00h – 16:00h
Samedi: Fermé
Dimanche: Fermé
* Virtual consults also available after hours
First name *
Last name *
Phone number *
Email *
Are you one of our patients? * I'm already a patientI'm a new patient
Select the services that interest you * Cosmetic dentistryGeneral dentistryOrthodontics with InvisalignDental rehabilitation/reconstructive dentistryDental emergencyOther (please specify in the message box below)
Message (optional)